Breast cancer is the most common malignant disease among women in Europe. It is a heterogeneous disease, the pathogenesis of which remains unclear in most cases. Significant progress has been made in early diagnosis and treatment of breast cancer, which has led to improved survival rates. Different molecular subtypes of breast cancer demonstrate different organotropy of metastasis [1]. Despite the use of modern multimodal treatment, 30% of patients develop disease recurrence, with 64% of them developing distant metastasis and 12% developing isolated metastases [2].
Lung metastases from breast cancer are when breast cancer cells detach from primary breast tumor, enter the bloodstream or lymphatic system, and settle in the lung tissue, where they begin to grow as secondary tumor foci. Currently, effective therapeutic treatment of such metastatic disease remains a significant clinical problem, which is largely due to the imperfection of early diagnostic methods. Accurate detection of the formation of pulmonary micrometastases in the early stages of the development of clinically significant pulmonary metastases is crucial for early diagnosis, symptomatic treatment, and prognosis of patients with pulmonary metastases from breast cancer.
What is metastatic breast cancer in the lungs?
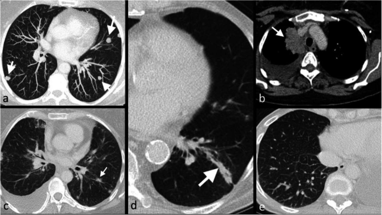
Lung metastases are not lung cancer but are composed of breast cancer cells. They often appear as multiple nodules of varying sizes, or less commonly as a solitary pulmonary nodule (a single nodule). They are often asymptomatic and are detected during a chest CT (computed tomography) scan.

Metastatic disease is characterized by a diverse cellular composition with distinct genetic and phenotypic properties that result in differences in the rate of disease progression, metastasis, and development of drug resistance. So how does the mechanism of lung metastasis occur? Breast cancer begins in breast. As cancer cells divide and multiply, they form a tumor. As the tumor grows, cancer cells can break away from the primary tumor and spread to distant organs or invade nearby tissues.
The reasons why initial breast cancer diagnosis often metastasizes to the lungs are still being studied. However, current research shows that the interaction between cancer cells and the human body, in particular the characteristics of lung tissue, which can contribute to the fixation and growth of tumor cells, plays an important role. There are several explanations for why metastases appear in certain organs more often than in others. Among the many theories, two remain the most recognized. The first theory explains metastasis by the fact that a combination of two factors is important for the growth of tumor cells: the cancer cells themselves and the conditions in a specific organ. If the organ creates favorable conditions for the fixation and growth of tumor cells, metastases can form there. If the conditions are not suitable, the cells do not take root [4, 5]. The second theory emphasizes the role of blood circulation. According to it, tumor cells spread with the blood flow and settle in those organs where they first enter. The lungs play an important role in this process, since a large amount of venous blood passes through them.
What are the symptoms of metastatic breast cancer in the lungs?
In the early stages, when the lesions are small, a person may not feel any changes in well-being. The lungs have a significant reserve, so even with the presence of small metastases, their function may remain normal.
Symptoms usually appear later – when the metastases increase in size or become more numerous. Then a cough, shortness of breath, chest pain or a feeling of lack of air may appear. That is why pulmonary metastases are often detected during routine examinations, and not because of the patient's complaints.
Metastases in the lungs can manifest themselves with the following symptoms:
- persistent or prolonged cough;
- pain or discomfort in the chest;
- shortness of breath or difficulty breathing;
- frequent respiratory tract infections;
- pleural effusion – an accumulation of fluid between the lung and the chest wall.
Diagnosis metastatic breast cancer in the lung
When lung metastases are suspected, a chest CT scan or PET scan is often ordered. If the scan reveals a tumor and the doctor has confirmed that it is cancerous, it is also important to confirm whether it is primary lung cancer – cancer that begins in the lungs – or breast cancer that has spread to the lungs. The treatment of primary lung cancer is different from treat metastatic breast cancer diagnosis that has spread to the lungs.
To confirm a diagnosis of lung metastases, these tests may include:
- examining a sample of mucus under a microscope;
- bronchoscopy – examination of the tissue and possibly taking a sample of any suspicious areas by inserting a flexible illuminated tube into the airways and into the lungs;
- lung needle biopsy – removing a small sample of tissue by inserting a needle through the skin into the affected lung using imaging of the suspicious area as a guide;
- surgery to remove the problem area for examination.
Tumor markers are widely used in the management of patients with breast carcinoma, both during therapy for metastatic disease and in conjunction with imaging, history taking, and physical examination. Cancer antigen 15-3 (CA 15-3), cancer antigen 125 (CA 125) and carcinoembryonic antigen (CEA) are elevated in approximately 80% and 40% of cases, respectively, of metastatic breast cancer [6]. In one study of patients with metastatic breast cancer, some women had normal levels of CA 15-3 but elevated levels of other tumor markers, such as CEA or CA 125. This was more common in luminal subtypes of metastatic breast cancer than in the more aggressive triple-negative forms [7].

Treatment options for lung metastases
The goal of treating lung metastases is to reduce symptoms, stop or slow the progression of lung metastases, and provide the best possible quality of life. International protocols consider metastatic cancer to be a systemic disease, so systemic therapy is the basis of treatment.
Systemic treatment. Affects the entire body and is the mainstay of therapy for metastatic cancer.
It includes:
- hormonal therapy – if the tumor is hormone-dependent;
- chemotherapy – for aggressive or rapidly progressive forms;
- targeted therapy – if the tumor has specific molecular targets (for example, HER2);
- immunotherapy for metastatic breast cancer – in selected cases.
Surgery. In patients with metastatic breast cancer (MBC) and lung metastases, selected breast cancer patients – with few lung lesions, long disease-free interval (DFI), or hormone receptor-positive tumors – may benefit from surgical removal of the lung metastases. However, clear criteria for selecting such patients have not yet been defined [8].
Radiation therapy. Can be used for solitary metastases (SBRT – Stereotactic Body Radiation Therapy), to reduce symptoms, and for complications such as compression of large vessels in the chest.
It is important for patients to be aware of not only the treatment options for breast cancer lung metastases but also the limitations of treatment. Many treatments can have side effects, such as nausea, fatigue, hair loss, and decreased immunity. One of the major drawbacks of treating lung metastases is the limited effectiveness and generally poor long-term survival rates – treatment does not always stop the disease permanently, and in many cases it only temporarily controls the disease.
Innovative methods of treatment
Dendritic Cell Therapy
In 2011, American immunologist Ralph Steinman was awarded the Nobel Prize for his discovery [9]. Although tumor cells originate from normal cells in the body, they can exhibit a degree of immunogenicity, and the immune system has a number of mechanisms of action against tumors. Because dendritic cells play a key role in the functioning of the immune system and its ability to recognize disease, scientists believe that they can be used to "boost" the body's own immunity so that it is more effective in finding and destroying cancer cells.

Dendritic cells originate in the bone marrow and develop from myeloid or lymphoid progenitors. They represent less than 1% of the cells in lymphoid organs and are even less common in other tissues [10]. Dendritic cells are key cells of the immune system, whose main function is to "teach" the immune system to recognize tumor cells. As part of the therapy, the patient’s dendritic cells are activated or "loaded" with tumor antigens in the laboratory and then returned to the body. This stimulates the patient’s own immune system to attack breast cancer cells, including lung metastases.
In lung metastases, such therapy may be particularly relevant, since the lungs are an immunologically active organ, and the immune response there is often suppressed by the tumor. Activation of the immune system may help control micrometastases, which are not always amenable to chemotherapy or radiation therapy. The lungs, as a frequent site of metastasis, are an organ with high immune activity, but at the same time prone to the formation of an immunosuppressive environment. This creates conditions under which the reactivation of the immune response through dendritic cells is pathogenetically justified.
Dendritic cells: how the immune system can fight cancer and aging – an exclusive interview with Professor Gansauge
Could the immune system be the key to treating cancer – and even influencing the aging process? In this exclusive interview, Professor Gansauge, head of the innovative dendritic cell therapy clinic, explains simply and frankly how dendritic cells work, when they are truly effective, and why this approach is changing the way we think about modern medicine.
Dendritic cell therapy is a biologically justified and promising immunotherapeutic approach for lung metastases in patients with breast cancer. Its main role is not so much in the rapid reduction of tumor mass, but in the restoration of antitumor immune control, especially in the early or asymptomatic stages of the metastatic process. At the present stage, DCT for metastatic breast cancer in the lungs should be considered as an adjunct to standard treatment within the framework of clinical trials or individualized programs.
Magdalena Ivanova from Bulgaria is diagnosed with stage IV breast cancer. After being diagnosed, she began looking for additional treatment options and learned about dendritic cell therapy. Magdalena sought treatment in Germany through Booking Health, where immunotherapy was used in combination with standard methods. In her interview, she shares her own experience of advanced breast cancer treatment.
Transarterial Chemoembolization (ТАСЕ)
TACE for lung metastases from breast cancer is a method of locoregional therapy in which a chemotherapy drug is injected directly into the artery feeding the tumor, with simultaneous embolization of the vessels. This allows:
- to achieve a higher local concentration of the drug;
- to reduce systemic toxicity;
- to cause ischemia of the tumor tissue.

Response rates are approximately 17% after pulmonary artery chemoembolization and 39% after bronchial artery chemoembolization, blend embolization, or chemoinfusion.
- Pulmonary artery chemoembolization is the administration of chemotherapy directly into the pulmonary artery that supplies blood to the tumor, with simultaneous partial occlusion of the vessel (embolization).
- Bronchial artery chemoembolization is the administration of chemotherapy into the bronchial artery, which is often the source of blood supply to tumors in the lungs.
- Embolization without chemotherapy (blend embolization) is only the occlusion of the vessels that feed the tumor.
- Chemoinfusion is the administration of chemotherapy into the artery that feeds the tumor, without embolization.
Breast cancer lung metastasis treatment with TACE allows the treatment of large and multifocal pulmonary metastases, including metastatic mediastinal lymph node involvement, in patients with limited treatment options. No serious adverse events were reported, and the metabolic response rate was 40% in patients with chemorefractory cancer who had not received other anticancer therapy. Unlike the liver, where metastases may be hyper- or hypovascular by angiography compared with normal tissue, lung metastases are often hypervascular by both bronchial and pulmonary angiography. This makes the lungs an attractive target for intra-arterial drug administration for pulmonary metastases [11].
What makes transarterial chemoembolization one of the most powerful tools in modern oncology?
In this in-depth interview, Professor Dr. Atilla Kovács – a leading expert in interventional radiology with over 26 years of experience – explains in detail how TACE works, why it has become the “gold standard” for highly vascularized tumors, and how minimally invasive techniques are changing the approach to cancer treatment – from radical therapy to palliative care.
Regional chemotherapy
Regional chemotherapy for breast cancer with lung metastases is a method of locoregional treatment that involves the administration of chemotherapy drugs directly into the vessels that supply blood to the tumor, in order to achieve high local drug concentrations while minimizing systemic toxicity.
In one study of 162 patients, 43 of them had triple-negative stage 4 breast cancer with lung metastases. According to the data, the frequence of pulmonary metastases in patients with TNBC can be as high as 40%. These patients are often not candidates for surgery and do not respond to systemic chemotherapy. Patients underwent isolated thoracic perfusion (ITP), a regional treatment method in which the circulation of the chest organs is temporarily separated from the general circulation to deliver very high doses of chemotherapy directly to the lungs and mediastinum, minimizing systemic toxicity. There was a 50% response rate in patients with pulmonary metastases from triple-negative breast cancer and a median survival of 14 months from the time of first ITP to the last patient contact [12].
Another study used intra-arterial infusion in combination with reversible electroporation to maximize local drug concentration and treatment efficacy and to reduce systemic side effects. The latter is a medical technology in which controlled electrical impulses are delivered to tumor tissue to temporarily make cell membranes more permeable. This combination was technically feasible and provided a good clinical response with minimal side effects. Tumor size reduction was observed in all but one case 2–7 days after each of 21 treatment cycles. Radiological control performed 4–8 weeks after treatment demonstrated a median reduction in the largest tumor diameter of 45%, complete response in two cases, and R0 resectibility in four cases. Typical side effects of chemotherapy were absent or minimal. Mild nausea was rare and resolved within two days of treatment. Hair loss was reported in only one case.
This treatment can be repeated and in some cases can lead to tumor resectability. However, for certain clinical situations, the use of isolated perfusion may be more effective and safer in terms of complete tumor coverage and reduced risk of increased metastasis [13].
Treatment abroad: comparing costs and opportunities
In the context of treatment planning for lung mets from breast cancer, an important aspect for patients and their families is the assessment of financial costs. The cost of medical care can vary significantly depending on the country, the healthcare system, the choice of treatment methods (standard or innovative), and the need for individual or experimental approaches.
Below is an approximate comparison of the costs of key treatment methods in four popular destinations for medical tourism and international treatment: Germany, the United Kingdom, the United States and Australia. It is in these countries the best hospitals for breast cancer with metastases. This will help you better understand your potential budget and choose the optimal treatment path, taking into account your clinical needs and financial capabilities.
| Treatment type | Cost Germany | Cost GB | Cost USA |
|---|---|---|---|
| Surgery | €25,000 – €45,000 | €35,000 – €55,000 | €65,000 – €85,000 |
| Chemotherapy | €80,000 – €150,000 full course | €90,000 – €165,000 full course | €100,000 – €180,000 full course |
| Radiation therapy | €28,000 – €42,000 | €35,000 – €65,000 | €40,000 – €80,000 |
| Hormone therapy | €10,000 – €15,000 | €9,500 – €21,000 | €19,000 – €37,000 |
| Dendritic cell therapy | €20,000 – €38,000 | Not available | €100,000 – €150,00 |
Modern approaches to the treatment of lung metastases in breast cancer: a comparative analysis
Treatment of lung metastases in metastatic breast cancer patients remains a challenging clinical challenge, especially in patients with disease progression after standard systemic therapy. Traditional treatment methods, including systemic chemotherapy, hormonal and targeted therapy, are the basis of modern international protocols, but their effectiveness is often limited by the development of drug resistance and systemic toxicity. In this regard, innovative and locoregional approaches aimed at increasing local control of the tumor process, reducing systemic burden and improving the quality of life of patients are gaining increasing attention in clinical practice and research programs.
The following is a comparative description of standard and innovative/experimental methods of treatment of lung metastases in breast cancer, taking into account their side effects, duration, advantages and disadvantages.
| Treatment type | Response | Survival rate | Side effects | Disadvantages | Benefits | Indications |
|---|---|---|---|---|---|---|
| Surgery | Not performed | ~70% for stage I cancer | Pain, infection risk, recovery time | 1. Risk of complications (bleeding, infection, adverse reactions to anesthesia) 2. Extended recovery period and hospitalization 3. Risk of recurrence 4. Need for additional treatments | Complete tumor removal, potentially curative for early stages | All localized tumors |
| Chemotherapy | Less than 10% | ~20% for advanced cancer | Severe (nausea, hair loss) | 1. Systemic side effects, low quality of life during treatment 2. Immunosuppression 3. Limited efficacy against certain cancer types 4. Development of resistance over time 5. High recurrence rate | Widely available, effective for systemic disease. Temporarily slows tumor growth | Malignant tumors of all stages |
| Radiation therapy | less than 15% | ~20% for localized cancer | Fatigue, skin irritation | 1. Local side effects, low quality of life during treatment 2. Site-specific side effects (e.g., radiation pneumonitis) 3. Increased risk of secondary cancers after treatment 4. Limited effectiveness | Precisely targets tumor site, can shrink tumors before surgery | Primary focus of malignant tumor and metastases to the brain |
| Hormone therapy | less than 30% | ~25% for advanced cancer | Moderate (hot flashes, weight gain, mood changes, decreased libido) | 1. Reduced quality of life during treatment 2. Cardiovascular complications, metabolic changes, bone density loss, cognitive and mood changes 3. Limited duration of effectiveness, development of hormone resistance over time 4. Limited indications, only for hormone-sensitive tumors | Non-invasive, well-tolerated long-term | Hormone-sensitive tumors |
| Dendritic Cell Therapy | 50-70% | ~65% | Minimal (flu-like symptoms) | 1. Limited evidence base compared to conventional treatments 2. Individualized manufacturing available at specialized centers only | Highly personalized, life-long immunity after a single injection, minimal side effects | All malignant tumors of all stages |
| Transarterial chemoembolization | 40-50% | ~50% | Pain, fever, fatigue | 1. Effectiveness depends on tumor blood supply (bronchial vs pulmonary arteries) 2. Requires high interventional radiology expertise | High local drug concentration in tumors, reduced systemic side effects | Unresectable lung metastases, progression after systemic therapy |
| Regional chemotherapy | 30-50% | Not performed | Local pain, transient nausea | 1. Requires specialized centers 2. Limited availability and clinical evidence | Can improve local control and symptoms, high local drug concentration | Chemotherapy-refractory disease, unresectable lung metastases |
Lung mets from breast cancer treatment options in Germany
Germany is one of the leading centers of modern oncology due to the combination of high-tech medicine, a strong scientific base and strict standards of quality of treatment. German clinics work in the format of multidisciplinary teams, which allows for individual selection of treatment tactics taking into account the molecular characteristics of the tumor and previous lines of therapy, in particular in complex cases of breast cancer spread to lungs.
Patients have access to modern systemic drugs, including targeted and immunotherapy, as well as innovative methods of local and regional treatment, such as high-precision radiation therapy (SBRT), interventional oncology (TACE, regional chemotherapy, isolated perfusion methods), electrochemotherapy and individualized immune approaches, in particular dendritic cell therapy.
An important advantage is the practical implementation of modern scientific developments into clinical practice: treatment is based on current international recommendations, modern diagnostics, and personalized patient management strategies, which allows for effective disease control and maintaining quality of life even in advanced forms of cancer, including breast cancer spread to lungs.
History of a patient with recurrent breast cancer and metastatic lung injury
Julia has a complex oncological history: recurrent multifocal right breast cancer (cT2N0, ER-positive, HER2-negative by IHC 2+), treatment with hormone therapy since October 2023, as well as stage IV lung cancer – adenocarcinoma with a HER2 ex20ins mutation and a negative PD-L1 status.
Julia`s family notes the high level of organization of the treatment process, the support from the coordinators and the medical team, as well as the comfortable conditions of stay in the clinic, which significantly reduce the psychological burden during treatment. Thanks to the work of Prof. Dr. Ganzauge and Dr. Taubert, the patient has already lived a year and a half longer than the doctors predicted at the time of diagnosis. The initial prognosis, obtained in the USA, was about six months. Despite cancer spread to lungs, the patient maintains a good functional state, physical activity and quality of life. The family expresses full trust in the medical program and team of specialists and notes the positive dynamics of the treatment:
"The facilities are comfortable. It doesn't feel like a scary hospital room. It's sunny, beautiful, and homey.
Thanks to the brilliance and diligence of Prof. Dr. Gansauge and Dr Taubert, my mother has outlived her original diagnosis of 6 months by a year and a half so far. I'm not qualified to diagnose, but I know in my heart that thanks to you all, my mother going to live another thirty years, and hopefully many more. And just to reiterate, her doctors in the United States told her she has six months to live... a year and a half ago.
By the way, she still looks fabulous, she has a full, beautiful mane of red hair, and she's still the same waist size she was as a teenager. Despite the lung cancer, she's still going for a run almost every morning, and looks as good as she did twenty two years ago, when I was born.
None of this would be possible without the experienced and lovely team of medical professionals you have on staff. I have complete confidence in your program and faith that your treatment will continue to work".
A Medical Journey: Every Step of the Way With Booking Health
Finding the best treatment strategy for your clinical situation is a challenging task. Being already exhausted from multiple treatment sessions, having consulted numerous specialists, and having tried various therapeutic interventions, you may be lost in all the information given by the doctors. In such a situation, it is easy to choose a first-hand option or to follow standardized therapeutic protocols with a long list of adverse effects instead of selecting highly specialized innovative treatment options.
To make an informed choice and get a personalized cancer management plan, which will be tailored to your specific clinical situation, consult medical experts at Booking Health. Being at the forefront of offering the latest medical innovations for already 12 years, Booking Health possesses solid expertise in creating complex cancer management programs in each case. As a reputable company, Booking Health offers personalized treatment for lung metastases from breast cancer with direct clinic booking and full support at every stage, from organizational processes to assistance during treatment. We provide:
- Assessment and analysis of medical reports
- Development of the medical care program
- Selection of a suitable treatment location
- Preparation of medical documents and forwarding to a suitable clinic
- Preparatory consultations with clinicians for the development of medical care programs
- Expert advice during the hospital stay
- Follow-up care after the patient returns to their native country after completing the medical care program
- Taking care of formalities as part of the preparation for the medical care program
- Coordination and organization of the patient's stay in a foreign country
- Assistance with visas and tickets.
- A personal coordinator and interpreter with 24/7 support
- Transparent budgeting with no hidden costs
Health is an invaluable aspect of our lives. Delegating management of something so fragile yet precious should be done only to experts with proven experience and a reputation. Booking Health is a trustworthy partner who assists you on the way of pursuing stronger health and a better quality of life. Contact our medical consultant to learn more about the possibilities of personalized treatment with innovative methods for metastatic breast cancer with leading specialists in this field.
Advanced Cancer Treatment: Patient Success Stories with Booking Health
FAQ: Lung Metastases from Breast Cancer
Send request for treatmentLung metastases are secondary lung tumors that form when breast cancer cells spread from the primary tumor to other organs. They are not new lung cancer, but a manifestation of advanced breast cancer.
The prognosis depends on many factors: the subtype of breast cancer (ER+, HER2+, triple-negative), the number and size of metastases, the response to treatment, and the patient's general condition. Modern treatment methods allow you to control the disease for years and maintain quality of life.
Breast cancer spreads to lungs, bones, liver, brain, lymph nodes. A person may have multiple organs affected at the same time.
The lung involvement is one of the most common metastases. According to various reports, frequency of lung metastases is 20–40% of patients with metastatic breast cancer, especially in aggressive subtypes (triple-negative breast cancer).
Breast cancer cells can enter the bloodstream or lymphatic system, pass through the heart, lodge in the small vessels of the lungs, where, under favorable conditions, they begin to grow and form metastases.
Possible symptoms: persistent cough, shortness of breath, chest pain or pressure, fatigue, repeated respiratory tract infections, hemoptysis, pleural effusion (fluid around the lungs).
Yes. In early or small stages, silent lung metastases may not cause any symptoms and are only detected as incidental finding during a CT or PET scan. This is why regular imaging tests after breast cancer treatment is important.
Diagnostic tools include Chest CT, PET-CT, MRI (in selected cases), biopsy (if necessary to clarify the diagnosis), molecular genetic, cancer markers and immunohistochemical tests.
Treatment is always individualized and may include systemic therapy (hormonal, chemotherapy, targeted therapy, immunotherapy), radiation therapy (including SBRT), local and regional methods (chemoinfusion, chemoembolization, isolated thoracic perfusion), advanced cancer care and symptomatic treatment.
Chemotherapy could give a great treatment response, but its effectiveness may decrease over time due to the development of resistance. It is often used sequentially or in combination with other treatments. The main goal is to control the disease and maintain quality of life.
Yes, but not for all patients. Immunotherapy (especially, immune checkpoint inhibitors) is used depending on molecular subtype of the tumor, PD-L1 status, presence of specific mutations. Individualized immune approaches, including dendritic cell therapy for lung metastases from breast cancer, are being investigated separately.
Yes. Innovative or experimental methods include: DCT for metastatic breast cancer in the lungs, regional chemotherapy, transarterial chemoembolization. These methods are used in selected patients and are usually combined with standard treatment.
Germany is known for its high level of oncological expertise, access to innovative and experimental programs, multidisciplinary approach, experienced specialists, long-term outcomes and the possibility of individualized high-quality oncology treatment.
The treatment cost depends on the type of treatment, the duration of the program, the use of innovative methods. On average, medical expenses can be from 20 thousand to 40 thousand euros, especially when using experimental or highly specialized procedures. The exact cost is determined individually after evaluating the medical documentation and taking into account the cancer care abroad.
The survival rate is very variable. Some patients live for months, others for many years, especially with a good response to treatment and a modern comprehensive approach. Today, metastatic breast cancer is increasingly viewed as a chronic, manageable disease, rather than an immediate sentence.
Choose treatment abroad and you will for sure get the best results!
Authors:
This article was edited by medical experts, board-certified doctors Dr. Nadezhda Ivanisova, and Dr. Daria Sukhoruchenko. For the treatment of the conditions referred to in the article, you must consult a doctor; the information in the article is not intended for self-medication!
Our editorial policy, which details our commitment to accuracy and transparency, is available here. Click this link to review our policies.
Sources:
[1] Catarina Lourenço, Francisco Conceição, Carmen Jerónimo, Meriem Lamghari, Daniela M Sousa. Stress in Metastatic Breast Cancer: To the Bone and Beyond. Cancers (Basel). 2022 Apr 8;14(8):1881. doi: 10.3390/cancers14081881. [DOI] [PMC free article]
[2] H Kreisman, N Wolkove, H S Finkelstein, C Cohen, R Margolese, H Frank. Breast cancer and thoracic metastases: review of 119 patients. Thorax. 1983 Mar;38(3):175–179. doi: 10.1136/thx.38.3.175. [DOI] [PMC free article]
[3] Filippo Pesapane, Kate Downey, Anna Rotili, Enrico Cassano, Dow-Mu Koh. Imaging diagnosis of metastatic breast cancer. Insights Imaging. 2020 Jun 16;11:79. doi: 10.1186/s13244-020-00885-4. [DOI] [PMC free article]
[4] Jenny E Chu, Alison L Allan. The Role of Cancer Stem Cells in the Organ Tropism of Breast Cancer Metastasis: A Mechanistic Balance between the “Seed” and the “Soil”? Int J Breast Cancer. 2011 Nov 3;2012:209748. doi: 10.1155/2012/209748. [DOI] [PMC free article]
[5] Isaiah J Fidler. The pathogenesis of cancer metastasis: the 'seed and soil' hypothesis revisited. Nat Rev Cancer. 2003 Jun;3(6):453-8. doi: 10.1038/nrc1098. [DOI] [PubMed]
See more
[6] C Tondini, D F Hayes, R Gelman, I C Henderson, D W Kufe. Comparison of CA15-3 and carcinoembryonic antigen in monitoring the clinical course of patients with metastatic breast cancer. Cancer Res. 1988 Jul 15;48(14):4107-12. [PubMed]
[7] R Yerushalmi, S Tyldesley, H Kennecke et al. Tumor markers in metastatic breast cancer subtypes: frequency of elevation and correlation with outcome. Ann Oncol. 2012 Feb;23(2):338-45. doi: 10.1093/annonc/mdr154. Epub 2011 May 4. [DOI] [PubMed]
[8] Junichi Soh, Yoshifumi Komoike, Tetsuya Mitsudomi. Surgical therapy for pulmonary metastasis of breast cancer. Transl Cancer Res. 2020 Aug;9(8):5044–5052. doi: 10.21037/tcr.2020.03.63. [DOI] [PMC free article]
[9] Roman Volchenkov, Florian Sprater, Petra Vogelsang, Silke Appel. The 2011 Nobel Prize in physiology or medicine. Scand J Immunol. 2012 Jan;75(1):1-4. doi: 10.1111/j.1365-3083.2011.02663.x. [DOI] [PubMed]
[10] C P Allan, C J Turtle, P N Mainwaring, C Pyke, D N J Hart. The immune response to breast cancer, and the case for DC immunotherapy. Cytotherapy. 2004;6(2):154-63. doi: 10.1080/14653240410005249. [DOI] [PubMed]
[11] F Edward Boas, Nancy E Kemeny, Constantinos T Sofocleous et al. Bronchial or Pulmonary Artery Chemoembolization for Unresectable and Unablatable Lung Metastases: A Phase I Clinical Trial. Radiology. 2021 Aug 31;301(2):474–484. doi: 10.1148/radiol.2021210213. [DOI] [PMC free article]
[12] Stefano Guadagni, Karl Aigner, Odisseas Zoras et al. Isolated thoracic perfusion in lung metastases from breast cancer: a retrospective observational study. Updates Surg. 2019 Mar;71(1):165-177. doi: 10.1007/s13304-018-00613-0. Epub 2018 Dec 12. [DOI] [PubMed]
[13] Kornelia Aigner, Emir Selak, Monika Pizon, Karl Reinhard Aigner. Arterial Infusion and Isolated Perfusion in Combination with Reversible Electroporation for Locally Relapsed Unresectable Breast Cancer. Cancers (Basel). 2024 Nov 28;16(23):3991. doi: 10.3390/cancers16233991. [DOI] [PMC free article]
Read:
Advanced Treatment Options for Lung Metastases
Comprehensive Guide to Stage 4 Breast Cancer: Treatment Options
Article menu:
- What is metastatic breast cancer in the lungs?
- Treatment options for lung metastases
- Innovative methods of treatment
- Treatment abroad: comparing costs and opportunities
- Modern approaches to the treatment of lung metastases in breast cancer: a comparative analysis
- Lung mets from breast cancer treatment options in Germany
- History of a patient with recurrent breast cancer and metastatic lung injury
- A Medical Journey: Every Step of the Way With Booking Health
- FAQ: Lung Metastases from Breast Cancer
Don't know where to start?
Contact Booking Health






