Liver cancer typically strikes between the ages of 50 and 65, ranking as the 5th most common cancer in men and 9th in women. The sobering reality is that three-quarters of cases go undetected until the disease has already spread – a stage 4 diagnosis that traditionally meant a prognosis measured in months, not years. But here's what's changing the landscape: German medical centers are pioneering advanced therapeutic approaches that are rewriting these statistics, offering renewed hope even for patients facing the most advanced stages of this challenging disease. The key lies in understanding the warning signs early and knowing that today's treatment options extend far beyond what was possible just years ago.
Standard treatment methods for stage 4 liver cancer
Stage 4 liver cancer (sometimes incorrectly referred to as grade 4 cancer) is diagnosed in cases where abnormal cells have spread to distant organs or in cases of tumor invasion into other abdominal organs. Classic treatment at this stage involves radiation therapy, chemotherapy and other systemic treatments, and/or surgical interventions.
However, conventional approaches have several disadvantages:
- Surgical interventions are traumatic and require long-term recovery
- Chemotherapy drugs and radiation therapy negatively affect the whole body and suppress immunity
- Standard methods do not always increase life expectancy
It is worth noting that in many cases of stage 4 liver cancer, surgery is contraindicated. Moreover, liver cancer cells often have low sensitivity to chemotherapy. That is why more and more patients go for treatment in German hospitals, which can offer innovative therapies, clinical trials, and therapeutic alternatives.
Innovative treatment methods for stage 4 liver cancer in Germany
As conventional treatments may have limited efficacy at this advanced stage, many patients explore alternative therapies to alleviate pain and improve their quality of life. German hospitals successfully use sparing treatment methods: tumor embolization, ablation, and immunotherapy.
New in Stage 4 Liver Cancer Surgery: ALPPS procedure
When stage 4 liver cancer spreads extensively throughout the organ, traditional surgery often becomes impossible due to insufficient healthy tissue remaining. The ALPPS procedure (Associating Liver Partition and Portal vein Ligation for Staged hepatectomy) represents a revolutionary surgical breakthrough that transforms previously inoperable cases into treatable ones [4].
This innovative two-stage approach works by dramatically accelerating the liver's natural regeneration ability. During the first minimally invasive surgery, surgeons precisely divide the liver tissue and block blood flow to the diseased portion while preserving the healthy segments. The liver responds by rapidly growing the remaining healthy tissue, achieving a remarkable 40-90% volume increase in just 6-14 days, compared to traditional methods requiring 4-8 weeks.
The second surgery, performed once a sufficiently healthy liver has regenerated, removes the diseased portion completely. German leading cancer centers have pioneered advanced modifications using radiofrequency ablation and laparoscopic techniques, significantly reducing complications while maintaining effectiveness. Recent studies show that patients achieve successful treatment outcomes with this modified approach, including those with liver cirrhosis previously considered too high-risk.

Key advantages of this treatment for liver cancer stage 4 in Germany include:
- Transforms inoperable tumors into surgically treatable cases
- Rapid liver regeneration prevents disease progression during waiting periods
- Minimally invasive first-stage reduces surgical trauma
- 3D imaging and precise treatment plans ensure optimal safety
- Provides curative potential where only palliative care was previously possible
Prof. Dr. Karl Jürgen Oldhafer from Hamburg's Asklepios Hospital, a world-leading expert who has performed over 100 ALPPS procedures, shares his insights on how this groundbreaking technique is revolutionizing liver cancer treatment in Germany and for patients worldwide.
"We Can Help Previously Inoperable Patients": Prof. Oldhafer on Modern Liver Surgery
Embolization of metastases in stage 4 liver cancer
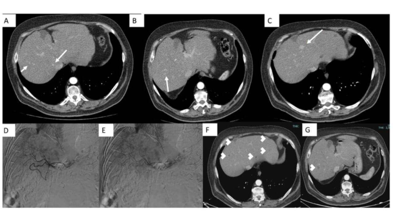
Embolization is a low-traumatic intervention, the purpose of which is to block the blood vessels feeding the tumor. As a result, cancer cells stop receiving nutrients and die quickly. In Germany, two main types of embolization are commonly used for treating liver cancer: chemoembolization and radioembolization.
Transarterial chemoembolization is the most common procedure, combining two treatment methods: embolization and local chemotherapy [5]. The use of this procedure for stage 4 liver cancer involves arterial lumen closure with microspheres containing chemotherapy drugs. They are gradually released over several weeks, creating a high concentration of drugs in the hepatic parenchyma and inhibiting the growth of neoplasms. After the procedure, the primary tumor can drastically decrease in size, sometimes by tens of times. Unlike standard chemotherapy for the fourth stage liver cancer, the patient does not experience any severe side effects after chemoembolization.
This method has the following advantages:
- Chemoembolization is effective not only for primary but also for metastatic liver cancer. Metastatic liver cancer is the most common – it occurs 20-30 times more often than primary cancer. Tumors in the bowel, stomach, pancreas, ovaries, and other organs located outside the abdominal cavity can spread to the liver. They can only be removed surgically in 15% of patients. In other cases, specialists use other treatment methods, including chemoembolization.
- The treatment is safe, as the liver has a blood supply from two sources. The healthy parenchyma receives 70% of its blood supply from the portal vein and 30% from the hepatic artery. At the same time, a malignant tumor receives up to 95% of its blood from the hepatic artery. Therefore, its closure with emboli saturated with chemotherapy drugs provides a targeted effect on the cancer cells. Although liver function can also decrease, the procedure does not lead to critical health consequences.
- Previously, chemoembolization for the treatment of liver cancer was only carried out with preserved organ function, to avoid complications, but now, German hospitals can perform the procedure on patients with liver failure, too.
- Transarterial chemoembolization is absolutely safe and does not cause any complications. Uncomfortable sensations can occur during the first few days after the operation, and they can be easily eliminated with the help of drugs.
The radioembolization technique differs from chemoembolization in that the microspheres are saturated not with drugs, but with radioactive substances. It has been used as a treatment option for inoperable liver cancer since 2016.

Hyperthermia: Heat Therapy for Stage 4 Liver Cancer
Hyperthermia represents a powerful complementary targeted therapy that uses controlled heat to enhance the body's fight against cancer cells. This innovative approach, meaning "overheating" in Greek, exploits the fundamental weakness of malignant tissue: cancer cells are significantly more vulnerable to elevated temperatures than healthy tissue.
During hyperthermia treatment, targeted areas are heated to 104-113°F, triggering multiple anti-cancer mechanisms. Heat disrupts the repair enzymes that help cancer cells recover from chemotherapy and radiation therapy, effectively blocking their regenerative abilities. At temperatures above 104°F, heat shock proteins activate the immune system and label cancer cells for easier recognition by immune defenders. When temperatures reach 107°F, programmed cell death begins in malignant tissue.
German medical centers utilize three specialized hyperthermia approaches for liver cancer patients: local hyperthermia, regional hyperthermia, and whole-body hyperthermia that raises overall body temperature to sensitize widespread metastases.
Key benefits include:
- Enhanced effectiveness of chemotherapy and radiation by 30-50%
- Reduced drug dosages with fewer side effects
- Renewed sensitivity in previously resistant tumors
- Improved blood flow to tumor sites for better drug delivery
- Minimal damage to the surrounding healthy liver tissue
This treatment typically requires 6-12 sessions and can be safely combined with other therapies, offering hope for patients with inoperable liver tumors who need comprehensive palliative care approaches.
Ablation for liver cancer stage four
Ablation is the destruction of cancer tissue using various types of energy or chemicals (alcohol, acetic acid) [6]. The procedure is usually combined with chemoembolization and other treatment methods.
Until recently, the most popular procedure was radiofrequency ablation, which involved the insertion of a probe into the liver tissue, heating it up, and therefore, leading to the destruction of the metastatic neoplasms. However, German hospitals increasingly use microwave ablation. This is a more progressive technique with several advantages. It appeared simultaneously with radiofrequency ablation, but could not be introduced into clinical practice for technical reasons. Rather, compact devices for microwave ablation appeared only a few years ago. They can be inserted into the lump through a puncture in the abdomen. The essence of the technique is that an antenna, which emits electromagnetic energy, is used to heat the tumor.
This targeted therapy has the following advantages:
- Local use of high temperatures, without affecting the healthy tissues
- The procedure is performed in just a few minutes
- Neoplasms up to 8 cm can be destroyed
- Microwaves can easily penetrate even charred or dehydrated areas
- Microwave ablation destroys neoplasms at a distance of 1 cm from large blood vessels or bile ducts
- Possibility of destroying several metastases simultaneously (by simultaneous use of several antennas)
In some German hospitals, doctors have begun using another type of ablation to destroy cancer cells, namely, high-intensity focused ultrasound (HIFU). Its advantage is that the method does not require a surgical intervention.

Additional effects of embolization and ablation techniques
Interestingly, ablation and embolization of the hepatic artery lead to the elimination of not only the tumor in the liver but also of its distant metastases. The fact is that during the procedures, cancer cells die in large numbers. In this case, a large number of the so-called "danger signals" – damage-associated molecular-pattern molecules (DAMPs), as well as the specific antigens of tumor cells, are released. The immune system reacts to them, which stimulates both local and general immune responses. As a result, the body copes with most of the cancer cells on its own.
Immunotherapy for liver cancer IV stage
Immunotherapy represents a revolutionary approach for stage 4 liver cancer treatment, harnessing the body's immune system to fight tumor cells. The Nobel Committee acknowledged the monumental role of dendritic cells by awarding the 2011 Nobel Prize in Medicine to their discoverer, American immunologist Ralph Steinman [7].
Dendritic cell therapy works by training the immune system to recognize and target cancer cells more effectively. These specialized cells, often referred to as the "officers" of immunity, are extracted from blood, cultured in laboratory conditions for one week, and then reintroduced as personalized dendritic cell vaccines. This targeted treatment teaches immune defenses to identify specific tumor antigens and mount a sustained response against malignant tissue.
Key advantages of dendritic cell therapy include:
- High effectiveness rates in clinical studies
- Minimal side effects compared to traditional treatments
- Can be combined safely with chemotherapy and radiation
- Uses fresh, unfrozen cells for optimal therapeutic impact
- Completed in just two outpatient visits over one week
While other immunotherapy types, e.g., checkpoint inhibitors targeting PD-1 proteins, show 60% response rates, dendritic cell therapy offers a more personalized approach. German clinics pioneering this treatment have demonstrated significant increases in life expectancy, with some patients achieving complete tumor response, making it a promising option for patients seeking the most advanced treatment options.
Benefits of stage 4 liver cancer treatment in Germany
Liver cancer treatment in Europe offers the following benefits for international patients:
- German hospitals offer all progressive treatment methods, which allow doctors to achieve long-term control of the disease
- Oncology hospitals have only the best and the most modern equipment, which ensures the accuracy of all the interventions
- Specialists from various fields of oncology undergo long-term training and receive qualifications, which allow them to implement all of the modern treatment methods in practice
- European hospitals are fully equipped for a comfortable stay for international patients
The leading hospitals that offer the best treatment for IV stage liver cancer:
- University Hospital of Ludwig Maximilian University of Munich, Department of Gastroenterology and Hepatology
- University Hospital Duesseldorf, Department of Gastroenterology, Hepatology and Infectology
- University Hospital Ulm, Department of Gastroenterology and Hepatology
- University Hospital Jena, Department of Gastroenterology, Hepatology and Infectology
- University Hospital Rechts der Isar Munich, Department of Gastroenterology, Hepatology, Endocrinology and Infectology
You can find a full list of the specialized healthcare facilities on the Booking Health website.
| Characteristic | Standard Methods | Innovative Methods |
|---|---|---|
| 2-Year Survival Rate | Approximately 25% for metastatic cancer | Up to 60% for metastatic disease |
| Response Rate | Less than 10% positive outcomes | 45-65% positive response |
| Time Investment | Multiple rounds spanning months | Up to 4 sessions |
| Side Effects | Extensive systemic impact (nausea, severe fatigue, total hair loss, weakened immunity, skin reactions) | Predominantly minor effects (primarily localized temporary discomfort) |
| Cost of Treatment in Germany | €80,000 - €150,000 full course | €25,000 - €60,000 full course |
| Cost of Treatment in Great Britain | €90,000 - €165,000 full course | €70,000 - €120,000 full course |
| Cost of Treatment in the USA | €100,000 - €180,000 full course | €100,000 - €150,000 full course |
Source: Booking Health clinical analytics. Actual treatment expenses vary based on individual patient requirements, hospitalization duration, continuous medical oversight demands, and supplementary costs including diagnostic procedures, travel arrangements, and accommodation services.
How to undergo stage 4 liver cancer treatment in Germany?
For patients considering treatment for stage 4 cancer at German oncology centers, navigating the healthcare system independently can be complex. Booking Health provides coordination services to help streamline treatment in Germany. Their assistance includes:
- Identifying appropriate medical centers based on your specific case and treatment needs
- Coordinating diagnostic and treatment programs with your medical history
- Transparent pricing information without additional foreign patient fees
- Scheduling appointments according to your availability
- Program coordination throughout your treatment journey
- Medication procurement and delivery assistance
- Ongoing communication with healthcare facilities
- Administrative support, including billing control and fund management
- Additional diagnostic or rehabilitation arrangements when needed
- Logistical support for accommodations, travel, and interpretation services
These coordination services can help reduce the administrative burden of seeking treatment abroad, allowing patients to focus on their care. For more information about services and pricing, consultation requests can be submitted through the official website.
Cancer Treatment Abroad: Patient Experiences with Booking Health
Frequently asked questions of our patients about stage 4 liver cancer treatment
Send request for treatmentTreatment options include chemotherapy, targeted therapy, immunotherapy, and palliative care. German clinics may also offer advanced treatments like transarterial chemoembolization (TACE) and dendritic cell vaccination.
Benefits include access to state-of-the-art medical technology, experienced oncologists, and personalized treatment plans. German clinics often offer innovative therapies, providing additional advanced treatment options.
Effectiveness is monitored through regular imaging tests, blood tests, and clinical evaluations. These assessments help doctors determine the therapy's impact and make necessary adjustments.
Risks vary by treatment and can include side effects such as nausea, fatigue, and an increased risk of infections. Close monitoring and supportive care help manage these risks effectively.
While a cure for advanced stage liver cancer is uncommon, advanced treatments in Germany can help control the disease, prolong life, and improve quality of life. The focus is on managing symptoms and extending survival.
Common symptoms include: weight loss and loss of appetite, abdominal pain, jaundice, fatigue and general weakness, etc. Many cases might stay undetected until the disease reaches advanced stage.
Let’s start from Germany: standard treatment costs €80,000-€150,000 for the full course, while innovative methods cost €25,000-€60,000. In Great Britain corresponding numbers are €90,000-€165,000 and €70,000-€120,000. When it comes to the USA, we see €100,000-€180,000 and €100,000-€150,000 respectively, which is higher.
The 2-year survival rate for metastatic liver cancer is approximately 25% when doctors use standard methods. Innovative methods – TACE, TAE, DC vaccines – offer up to 60% survival rates.
Standard methods for stage 4 liver cancer show less than 10% positive outcomes. When patients turn to innovative methods (TACE, ablation, dendritic cell therapy), it can be up to 45-65% positive response rates.
Standard methods require continuous intake/attendance during months, while innovative methods typically involve a few sessions.
Choose treatment abroad and you will for sure get the best results!
Authors:
This article was edited by medical experts, board-certified doctors Dr. Nadezhda Ivanisova, and Dr. Bohdan Mykhalniuk. For the treatment of the conditions referred to in the article, you must consult a doctor; the information in the article is not intended for self-medication!
Our editorial policy, which details our commitment to accuracy and transparency, is available here. Click this link to review our policies.
Sources:
[1] Jan Heil, Marc Schiesser, Erik Schadde. Current trends in regenerative liver surgery: Novel clinical strategies and experimental approaches. Front Surg. 2022 Sep 7:9:903825. doi: 10.3389/fsurg.2022.903825. eCollection 2022. [DOI] [PubMed]
[2] Carolina Lanza, Velio Ascenti, Gaetano Valerio Amato et al. All You Need to Know About TACE: A Comprehensive Review of Indications, Techniques, Efficacy, Limits, and Technical Advancement. J Clin Med. 2025 Jan 7;14(2):314. doi: 10.3390/jcm14020314. [DOI] [PMC free article]
[3] Theo Ruers, Frits Van Coevorden, Cornelis J A Punt et al. Local Treatment of Unresectable Colorectal Liver Metastases: Results of a Randomized Phase II Trial. J Natl Cancer Inst. 2017 Sep 1;109(9):djx015. doi: 10.1093/jnci/djx015. [DOI] [PubMed]
[4] Athanasios Petrou, Demetrios Moris, Pantelis Kountourakis et al. The ALPPS procedure as a novel “liver-first” approach in treating liver metastases of colon cancer: the first experience in Greek Cypriot area. World J Surg Oncol. 2016 Mar 8;14:67. doi: 10.1186/s12957-016-0827-3. [DOI] [PMC free article]
[5] Science Direct. Advances in transarterial chemoembolization for hepatocellular carcinoma: Integration with systemic therapies and emerging treatment strategies. https://www.sciencedirect.com/science/article/pii/S2949713225000527
[6] HealthLine. Ablation Therapies for Liver Cancer. https://www.healthline.com/health/cancer/ablation-for-liver-cancer
[7] Roman Volchenkov, Florian Sprater, Petra Vogelsang, Silke Appel. The 2011 Nobel Prize in physiology or medicine. Scand J Immunol. 2012 Jan;75(1):1-4. doi: 10.1111/j.1365-3083.2011.02663.x. [DOI] [PubMed]
Read:
Liver Cancer Treatment in Germany
Article menu:
- Standard treatment methods for stage 4 liver cancer
- Innovative treatment methods for stage 4 liver cancer in Germany
- Benefits of stage 4 liver cancer treatment in Germany
- How to undergo stage 4 liver cancer treatment in Germany?
- Frequently asked questions of our patients about stage 4 liver cancer treatment
Don't know where to start?
Contact Booking Health





